Implant Essentials
Back
What To Expect
Full-Mouth Dental Implants
Am I A Candidate?
What Are Your Options
Implant Cost & Affordability
Implant Maintenance
Frequently Asked Questions
Cosmetic Dentistry
Back
Enhance Your Smile
Porcelain Veneers
CEREC® Same-Day Crowns
Invisalign® Clear Aligners
Teeth Whitening
Sedation Dentistry
Additional Services
Back
General Dentistry
Periodontics
Oral Surgery
Full Mouth Reconstruction
Emergency Dentistry
For Our Patients
Back
Insurance & Financing
Patient Stories
Before & After Photos
Conditions We Treat
Who We Are
Back
Why Choose Us
Our Doctors
Video Library
Contact Us
Back
Schedule Today
Our Locations
Back
Grandville, MI
Downtown Muskegon, MI
Norton Shores, MI
Spring Lake, MI
Catlettsburg, KY
Contact Us
Directions
Spring Lake
Grandville
Downtown Muskegon
Norton Shores
Catlettsburg
Close
Before & Afters Photos - Michigan & Kentucky
The Proof Is
In Our Patients
Before & After Photos
All
Dental Implants
Porcelain Veneers
Teeth Whitening
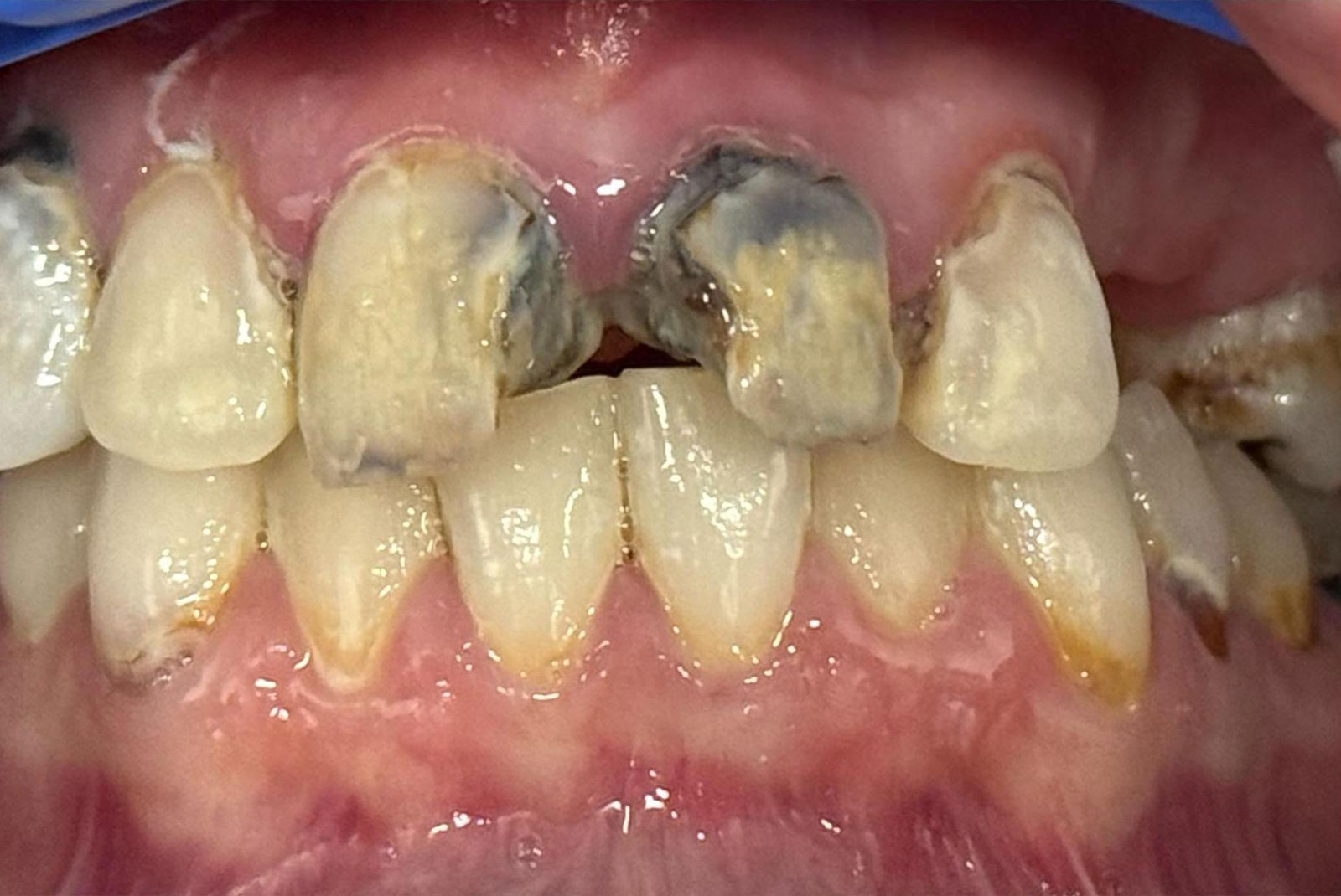
Before
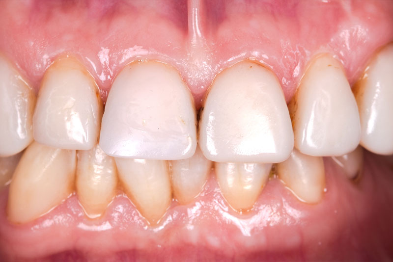
After
Before
After
Before
After
Before
After
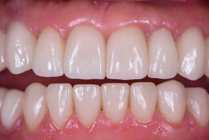
Before
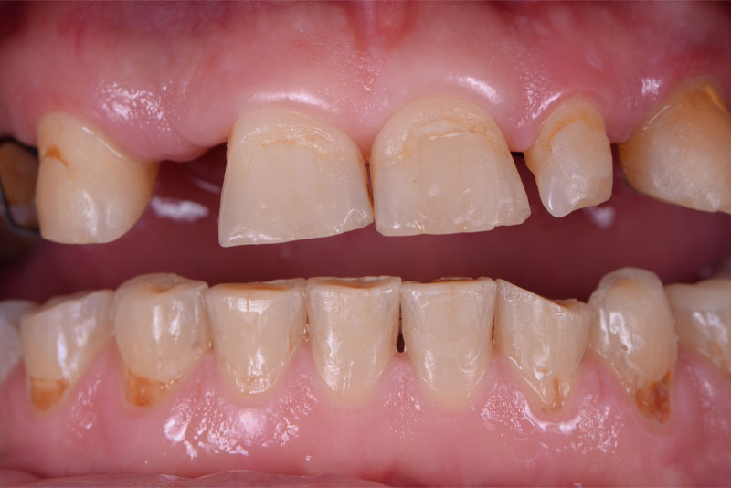
After
Before
After
Before
After
Before
After
Before
After
Before
After